英国男婴出生没完整大脑,医生称活不了几天,如今2岁会喊妈妈!
----英国男婴出生没完整大脑 , 医生称活不了几天 , 如今2岁会喊妈妈!//---- http:// //
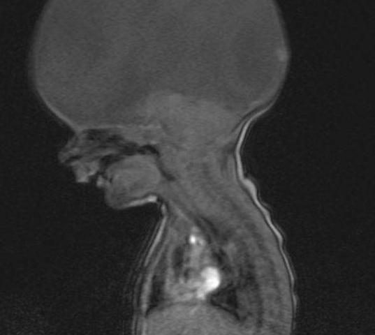
据报道 , 这位来自英国的妈妈24岁生下了自己的儿子 , 不幸的是 , 她的儿子患有全前脑畸形 , 也叫作前脑无裂畸形 , 这种病是因前脑发育障碍而引起的疾病 , 会导致孩子的颅面都畸形!!
----英国男婴出生没完整大脑 , 医生称活不了几天 , 如今2岁会喊妈妈!//---- http:// //
通俗点说就是大脑不完整 , 只有脑干而已!从孩子刚出生的时候 , 医生一说孩子活不长 , 而且就这种情况 , 根本没有办法为孩子做移植大脑的手术!
----英国男婴出生没完整大脑 , 医生称活不了几天 , 如今2岁会喊妈妈!//---- http:// //
可是 , 孩子现在已经两岁了 , 而且某天她下班回家 , 听到了孩子喊她妈妈 , 她那时候激动的要哭了!
----英国男婴出生没完整大脑 , 医生称活不了几天 , 如今2岁会喊妈妈!//---- http:// //
孩子的妈妈表示 , 最开始她压根不知道自己怀孕 , 直到肚子疼去医院检查才发现的!
----英国男婴出生没完整大脑 , 医生称活不了几天 , 如今2岁会喊妈妈!//---- http:// //
得这种病的可能性只有八千分之一 , 而且神经和面部都会出现畸形!在孕检的时候 , 百分之八六的可以检查出来 , 但是这种病的神经系统出现畸形在产后是非常危险的 , 所以一定要认识检查即使终止其发育 , 这是最好的办法!
版权声明:如涉及版权问题 , 请作者持权属证明与本网联系
- #宝宝树#疫情下的新生宝宝:出生14天吸引百万粉丝,笑一下400万人点赞~
- 「长脖子爸比」宝宝出生后医院为啥要留下一个脚印?医生可能不会说,但你要清楚
- 靓妈美娃■不管关系多好,这"3种人"不能抱刚出生的婴儿,并非迷信
- 『小宋和小宝』“慌乱”奶爸走红网络,抱着刚出生宝宝如临大敌,笑翻一众网友
- #全知社会#婴儿出生半月多一家三口被确诊 母亲先治愈出院
- 「宝妈妈孕育家园」原创这种胎儿不常见!但是医生说出生后很聪明
- 母婴参考■矮个父母要想生出高个宝宝,孕期做好两件事,娃出生后“猛涨个”
- [春龙和宝宝]孩子出生时,体重越接近这个“数”,可能智力越“高”,不妨一看
- [育儿母婴汇]婴儿出生42天必做的5项检查 一个也不能漏!
- 「怀化新闻网」抗“疫”一线,儿子出生了,爸爸通过视频见到他第一眼
