宝宝门牙发黄发黑,还总是牙疼,医生:早干什么了
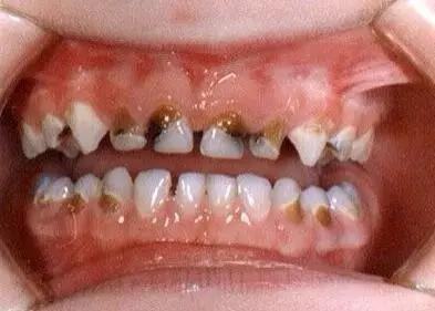
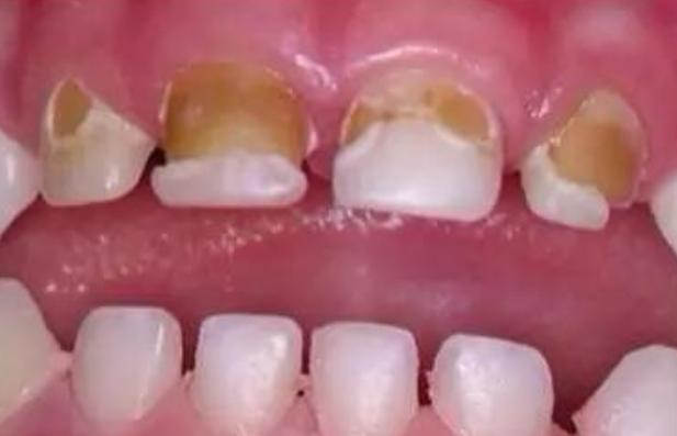
曼曼妈妈 , 宝宝每天晚上都不好好睡觉 , 必须要含着奶瓶睡觉 , 不要就会一直哭闹 , 这几天发现宝宝的牙齿上有些黄黄的东西 , 怎么都扣不下来 , 这是怎么了?
----宝宝门牙发黄发黑 , 还总是牙疼 , 医生:早干什么了//---- http:// //
曼曼妈妈 , 现在宝宝的牙齿情况越来越不好了 , 刚开始的时候也没有注意 , 这段时间孩子总是牙疼 , 去医院一看 , 医生说是奶瓶龋 , 什么是奶瓶龋呀?还教训我们说:早干什么去了 , 孩子的差池都成这样了才来医院!这以后该怎么办呀?愁死了 。
----宝宝门牙发黄发黑 , 还总是牙疼 , 医生:早干什么了//---- http:// //
在婴幼儿时期 , 很多家长觉得反正宝宝以后会换乳牙 , 所以就忽视了宝宝的牙齿健康 , 在喂养的过程中有很多不注意的小细节 , 长此以往 , 会对宝宝的牙齿 , 以及牙神经造成伤害 。 曼妈在这里要敲黑板了 , 爸爸妈妈们不要以为宝宝还小 , 就不注重宝宝的口腔健康、牙齿健康 , 如果宝宝的牙神经真的被破坏 , 真的是后悔也来不及了 。
----宝宝门牙发黄发黑 , 还总是牙疼 , 医生:早干什么了//---- http:// //
- 「母婴和育儿」原创宝宝鼻腔深处有鼻屎,尝试各种方法后,最后这样做成功了
- 「母婴和育儿」原创宝宝和大人睡?给宝宝睡婴儿床?到底哪个选择才是对的?
- 【小思妈妈营养餐】脆到开口跪,真鱼真虾,宝宝吃多少都放心!
- 晓露爸爸@原创“红脸宝宝”火了,两个脸蛋红的像苹果,网友:不会是喝奶喝醉了吧
- #宝宝树#疫情下的新生宝宝:出生14天吸引百万粉丝,笑一下400万人点赞~
- #萌宠治愈师#宝宝哭了柴犬马上跑过来看,头却卡在了栏杆中,狗:可望而不可及
- #宝宝呵护#宝宝晚上老是翻身睡不好,其实是身体里缺这个!
- 【鲲鹏创意气球】宝宝宴现场气球如何布置
- 「长脖子爸比」宝宝出生后医院为啥要留下一个脚印?医生可能不会说,但你要清楚
- 佳林母婴大世界■宝宝为什么晚上睡不稳觉?
